1

Before & After

본문 바로가기
서울브라운치과의원

기간한정 :

- -
개인정보수집동의
(약관보기)
커뮤니티 > Before & After
커뮤니티
가족을 대하는 마음으로 진심 진료를 실천하겠습니다.
Before & After

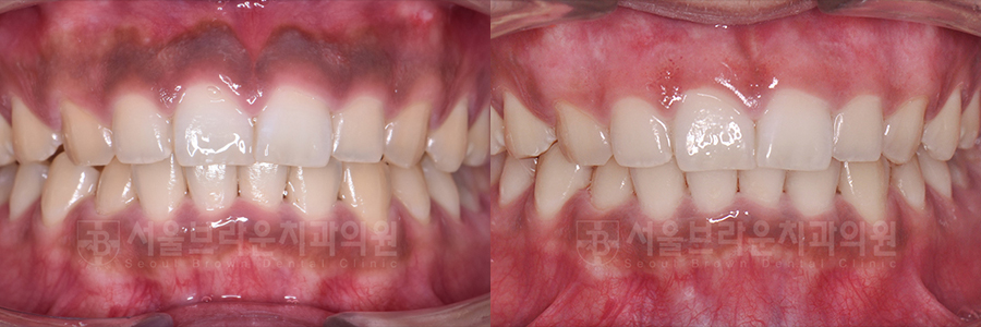
심미치료 | 잇몸미백

페이지 정보

작성자 서울브라운치과 작성일21-11-23 18:40 조회2,262회 댓글0건

본문

[잇몸미백 치료]

치료기간 : 2021.11.12 ~ 2021.11.19

 

41149a4b9ed4ca889d78ffd7fbebae3f_1637660

41149a4b9ed4ca889d78ffd7fbebae3f_163766041149a4b9ed4ca889d78ffd7fbebae3f_1637660
 

 

 

 

댓글

등록된 댓글이 없습니다.